Dental Implant Cases
All-on-4 and immediate implant solutions for complete smile restoration. These cases showcase our expertise in full-arch rehabilitation with same-day teeth, providing patients with immediate functional and aesthetic results.
Resultados de Implantes Dentales que Cambian la Vida
Cada caso demuestra el poder transformador de los implantes dentales, desde reemplazo de un solo diente hasta restauración de arcada completa. Nuestra técnica All-on-4 Dientes-en-un-Día proporciona resultados inmediatos y estabilidad a largo plazo.
Trusted & Accredited By Leading Organizations






The All-on-4 Advantage
Same-Day Teeth
Walk in with failing teeth, leave with a complete, functional smile the same day
Fewer Implants Needed
Only 4-6 implants per arch, reducing surgical complexity and cost
No Bone Grafting
Strategic implant placement often eliminates the need for bone grafting procedures
Immediate Function
Temporary prosthesis allows you to eat and speak normally while healing
Long-Term Stability
Proven success rates exceeding 95% for properly maintained All-on-4 restorations
Natural Aesthetics
Custom-designed teeth that match your facial features and provide a natural appearance
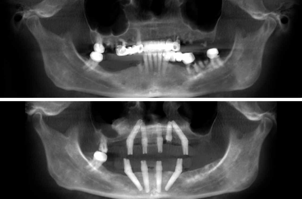
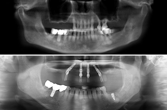
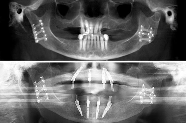
What is the All-on-4 Technique?
All-on-4 is a revolutionary dental implant technique that uses just four strategically placed implants to support a full arch of replacement teeth. The posterior implants are angled at 30-45 degrees to maximize bone contact and avoid anatomical structures like the maxillary sinus or inferior alveolar nerve. This innovative approach allows for immediate loading with a temporary prosthesis, providing same-day teeth and eliminating the need for lengthy healing periods between procedures.
¿Listo para Restaurar Su Sonrisa?
Descubra si los implantes dentales All-on-4 son adecuados para usted. Programe una consulta para discutir sus opciones y recibir un plan de tratamiento personalizado







