Dental Implant Cases
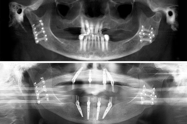
All-on-4 and immediate implant solutions for complete smile restoration. These cases showcase our expertise in full-arch rehabilitation with same-day teeth, providing patients with immediate functional and aesthetic results.
Life-Changing Dental Implant Results
Each case demonstrates the transformative power of dental implants, from single tooth replacement to full-arch restoration. Our All-on-4 Teeth-In-A-Day technique provides immediate results and long-term stability.
The All-on-4 Advantage
Same-Day Teeth
Walk in with failing teeth, leave with a complete, functional smile the same day
Fewer Implants Needed
Only 4-6 implants per arch, reducing surgical complexity and cost
No Bone Grafting
Strategic implant placement often eliminates the need for bone grafting procedures
Immediate Function
Temporary prosthesis allows you to eat and speak normally while healing
Long-Term Stability
Proven success rates exceeding 95% for properly maintained All-on-4 restorations
Natural Aesthetics
Custom-designed teeth that match your facial features and provide a natural appearance
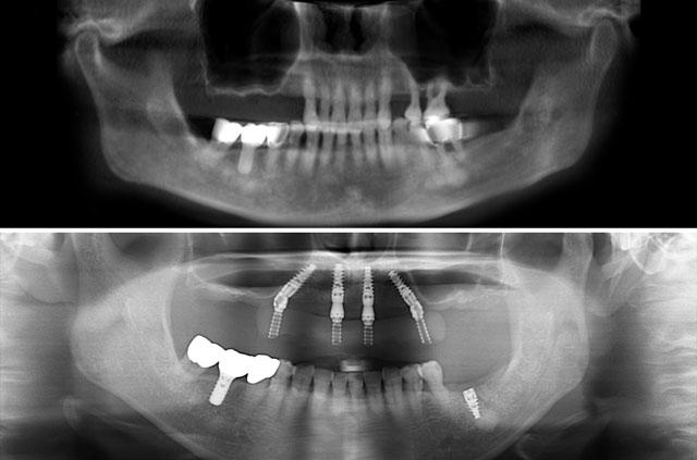
What is the All-on-4 Technique?
All-on-4 is a revolutionary dental implant technique that uses just four strategically placed implants to support a full arch of replacement teeth. The posterior implants are angled at 30-45 degrees to maximize bone contact and avoid anatomical structures like the maxillary sinus or inferior alveolar nerve. This innovative approach allows for immediate loading with a temporary prosthesis, providing same-day teeth and eliminating the need for lengthy healing periods between procedures.
Ready to Restore Your Smile?
Discover if All-on-4 dental implants are right for you. Schedule a consultation to discuss your options and receive a personalized treatment plan








