
Zygomatic Implants: When Traditional Implants Fail
Ready to Transform Your Smile?
Schedule your free consultation today and discover how dental implants can change your life.

Schedule your free consultation today and discover how dental implants can change your life.
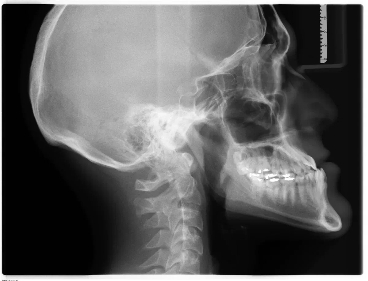
Zygomatic dental implants are an advanced implant technique used when severe bone loss in the upper jaw prevents placement of traditional implants. Instead of anchoring in the maxilla, zygomatic implants engage the zygomatic bone (cheekbone), which offers dense, stable support.
This procedure is reserved for complex cases and requires advanced surgical training.
In the upper jaw, long-term tooth loss often leads to:
In extreme cases, even extensive bone grafting cannot reliably recreate adequate bone for traditional implants.
The zygomatic bone:
By anchoring implants into this structure, surgeons bypass the need for massive grafting.
Zygomatic implants are:
Placement requires precise 3D planning and careful avoidance of critical anatomy such as the sinus and orbit.
Zygomatic implants are typically used when:
They are not a first-line treatment.
Because of their complexity, zygomatic implants carry specific risks:
These risks increase dramatically when performed by inexperienced providers.
Many zygomatic cases allow immediate loading due to high primary stability. However:
Immediate load does not eliminate long-term risk.
This procedure requires:
Zygomatic implants are not common because they should not be.
At Fusion Dental Implants, our specialists have the training and experience to handle complex cases including zygomatic implants. We provide honest assessments and recommend the most appropriate solution for your situation.
About Fusion Dental Implants: Advanced implant specialists serving Sacramento, Roseville, and patients throughout Northern California.
As Northern California's leading dental implant center, we combine advanced surgical expertise with compassionate patient care to deliver life-changing smile transformations. Every procedure is performed by board-certified oral and maxillofacial surgeons using state-of-the-art 3D imaging and guided surgery technology.
Our surgeons are board-certified by the American Board of Oral and Maxillofacial Surgery, ensuring the highest standard of training and expertise in dental implant placement, bone grafting, and full-arch restoration procedures.
We stand behind our work with a lifetime warranty on all zirconia restorations. Our in-house dental laboratory crafts each prosthetic with premium materials, giving you confidence that your investment is protected for life.
Unlike most practices that outsource lab work, Fusion Dental Implants operates its own on-site dental laboratory. This means faster turnaround times, precise custom-fitted restorations, and same-day teeth solutions for qualifying patients.
We believe premium dental implant care should be accessible. Our price-match guarantee means if you receive a lower quote from a qualified provider for the same procedure, we will match or beat that price while maintaining our exceptional quality standards.
Founded by Dr. Alexander Antipov, a dual-trained oral and maxillofacial surgeon, Fusion Dental Implants is dedicated to providing the highest quality dental implant care in Northern California. Our practice specializes in full-arch dental implant solutions including All-on-4 and All-on-6 procedures, single tooth implants, implant-supported dentures, and complex bone grafting cases.
With four convenient locations in Roseville, El Dorado Hills, Folsom, and Rocklin, we serve patients throughout the Sacramento metropolitan area, Placer County, El Dorado County, and the greater Northern California region. Our state-of-the-art facilities feature cone beam CT scanning, digital treatment planning, and an in-house dental laboratory that enables same-day teeth procedures.
We understand that dental implants are a significant investment in your health and quality of life. That is why we offer flexible financing options starting at $99 per month, accept most major dental insurance plans, and provide a price-match guarantee. Every patient receives a complimentary consultation with a comprehensive treatment plan tailored to their specific needs and budget.
Find answers to the most common questions about dental implants, our procedures, costs, and what to expect at Fusion Dental Implants. Still have questions? Contact us for a free consultation.
Dental implant costs vary based on the type of restoration needed. Single tooth implants start at approximately $3,500, implant-supported dentures begin around $12,000, and full-arch All-on-4 solutions start at $21,000 per arch. We offer a price-match guarantee and flexible monthly financing starting at $99 per month. During your free consultation, we provide a detailed treatment plan with transparent pricing and no hidden fees.
All-on-4 is a revolutionary full-arch dental implant technique that replaces an entire arch of teeth using just four strategically placed titanium implants. The procedure is designed so that patients can receive a complete set of fixed, non-removable teeth in a single day. Two implants are placed vertically in the front of the jaw and two are angled at up to 45 degrees in the back, maximizing bone contact and often eliminating the need for bone grafting. At Fusion Dental Implants, our board-certified oral surgeons have performed thousands of successful All-on-4 procedures.
With proper care and maintenance, dental implants can last a lifetime. The titanium implant post that is surgically placed into the jawbone integrates with the bone through a process called osseointegration, creating a permanent foundation. The implant crown or prosthetic typically lasts 15 to 25 years before it may need replacement due to normal wear. At Fusion Dental Implants, we use premium zirconia restorations backed by our lifetime warranty, and our in-house lab ensures each restoration is crafted for maximum durability and aesthetics.
Most adults with good general health are candidates for dental implants. During your complimentary consultation, our surgeons evaluate your jawbone density using advanced 3D cone beam CT imaging, review your medical history, and assess your oral health. Even patients who have been told they do not have enough bone for implants may be candidates through bone grafting procedures, zygomatic implants, or the All-on-4 technique which utilizes existing bone more efficiently. Conditions like diabetes, smoking, and osteoporosis require special consideration but do not automatically disqualify you.
Recovery varies depending on the complexity of the procedure. For single implant placement, most patients return to normal activities within one to two days, with mild soreness lasting three to five days. For full-arch procedures like All-on-4, patients typically experience moderate swelling for three to five days and are comfortable enough to eat soft foods the same day they receive their temporary teeth. Full osseointegration, where the implant fuses with the jawbone, takes three to six months, during which you wear a functional temporary restoration.
Yes, we offer several flexible financing options to make dental implants affordable. Our monthly payment plans start as low as $99 per month for single implants, $199 per month for implant dentures, and $299 per month for full-arch restorations. We partner with leading healthcare financing companies to offer plans with competitive interest rates and terms up to 84 months. We also accept most major dental insurance plans, including PPO plans, and our team helps maximize your insurance benefits. Every patient receives a clear breakdown of costs during their free consultation.
Several factors set Fusion Dental Implants apart. Our practice is led by board-certified oral and maxillofacial surgeons with specialized training in implantology. We operate our own in-house dental laboratory, which allows us to provide same-day teeth and ensures the highest quality custom restorations. Our lifetime warranty on zirconia restorations demonstrates our confidence in our work. We offer a price-match guarantee, and our four convenient Northern California locations in Roseville, El Dorado Hills, Folsom, and Rocklin make access easy for patients throughout the region.
Dental implants offer several significant advantages over traditional removable dentures. Implants are permanently fixed in place, so they do not slip, click, or require adhesive. They preserve jawbone density by stimulating the bone just like natural tooth roots, preventing the facial collapse and bone loss that occurs with dentures over time. Implant patients can eat all their favorite foods without restriction, speak clearly without worry, and smile with confidence. While the initial investment is higher than dentures, implants are more cost-effective long-term because they do not need to be replaced every five to seven years like dentures typically do.
Have a question that is not answered here? Our team is ready to help.